Blog

Lentes de contato deixam o sorriso artificial?

As lentes de contato dental são um dos procedimentos mais procurados na odontologia estética atual. Apesar de todo o interesse, muitas pessoas ainda têm dúvidas e acreditam que esse tratamento pode deixar o sorriso com aparência artificial. Mas será que isso é verdade?

A resposta é não. Quando bem planejadas e aplicadas por um profissional especializado, as lentes de contato dental proporcionam um resultado natural, harmônico e totalmente personalizado. O segredo está na escolha correta da cor, do formato e da técnica utilizada.

Como garantir um sorriso natural

Cada sorriso é único, por isso as lentes de contato dental são confeccionadas sob medida. O dentista avalia aspectos como formato do rosto, proporções dentárias e até a tonalidade da pele do paciente para alcançar um resultado equilibrado. A escolha da cor é essencial para evitar um branco exagerado que possa transmitir artificialidade. O objetivo é realçar a beleza natural do sorriso, não transformá-lo em algo padronizado.

Etapas de confecção

O processo começa com uma avaliação detalhada e pode incluir exames de imagem, fotografias e modelos digitais. A partir desse planejamento, são criadas lentes ultrafinas de porcelana que se encaixam perfeitamente sobre os dentes. Essa personalização garante que o sorriso final mantenha a naturalidade e respeite a anatomia bucal do paciente.

Cuidados necessários

Após a colocação, é fundamental manter cuidados básicos de higiene oral e visitas regulares ao dentista. As lentes de contato dental são resistentes, mas exigem atenção para que sua durabilidade seja prolongada e o aspecto estético se mantenha impecável ao longo dos anos.

Resultados sutis e elegantes

Os exemplos clínicos demonstram que as lentes de contato dental, quando aplicadas corretamente, oferecem resultados discretos e elegantes. Longe de causar uma aparência artificial, elas se integram naturalmente ao sorriso e proporcionam mais confiança e autoestima ao paciente.

Bateu a curiosidade sobre o tratamento?

As lentes de contato dental não deixam o sorriso artificial. Pelo contrário, são uma solução moderna e segura para realçar a beleza de forma natural e personalizada. Na Pérola Odontologia, o planejamento cuidadoso e o trabalho especializado garantem que cada paciente conquiste o sorriso dos seus sonhos com naturalidade e harmonia.

Quer saber se as lentes de contato dental são indicadas para você? Agende uma avaliação na Pérola Odontologia e descubra como transformar o seu sorriso com segurança e resultados naturais.

Por que o invisalign é o alinhador mais avançado

Nos últimos anos, a ortodontia evoluiu significativamente e os alinhadores transparentes se tornaram uma alternativa moderna aos aparelhos convencionais. Entre eles, o Invisalign se destaca como a tecnologia mais avançada do mercado, oferecendo precisão, conforto e resultados previsíveis. Mas afinal, o que torna o Invisalign diferente de outras opções disponíveis?

Escaneamento 3D de última geração

O tratamento com Invisalign começa com um escaneamento digital 3D da boca do paciente. Esse recurso elimina a necessidade de moldes de gesso desconfortáveis e gera uma imagem precisa da arcada dentária. A partir desses dados, é possível criar alinhadores personalizados que se encaixam perfeitamente, garantindo maior eficiência no movimento dos dentes.

Planejamento digital personalizado

Outro grande diferencial é o planejamento digital do tratamento. Com o software exclusivo da Invisalign, o dentista consegue prever cada etapa do processo antes mesmo de o paciente iniciar o uso dos alinhadores. Assim, é possível visualizar o resultado final esperado e acompanhar o progresso com muito mais clareza, algo que aparelhos tradicionais ou outros alinhadores não oferecem com a mesma precisão.

Maior previsibilidade de resultados

A tecnologia por trás do Invisalign permite movimentos dentários controlados e graduais, garantindo uma previsibilidade de resultados muito superior. Isso significa que tanto o paciente quanto o profissional podem confiar no tempo estimado de tratamento e na qualidade do resultado alcançado.

Conforto e estética superiores

Além da eficácia, o conforto é um ponto-chave. Os alinhadores são confeccionados em material exclusivo, com bordas suaves que se adaptam melhor à boca, evitando machucados comuns em aparelhos de metal. Por serem transparentes, oferecem também um benefício estético importante, tornando o tratamento quase imperceptível no dia a dia.

Comparação com alternativas convencionais

Enquanto aparelhos fixos utilizam bráquetes e fios metálicos, o Invisalign proporciona liberdade para comer, beber e realizar a higiene bucal de forma simples, já que pode ser removido sempre que necessário. Outros alinhadores disponíveis no mercado não contam com o mesmo nível de personalização digital, o que pode comprometer a precisão e o conforto do tratamento.

Resultados que transformam sorrisos

Com milhares de casos tratados em todo o mundo, o Invisalign comprova sua eficácia não apenas na teoria, mas também na prática. Pacientes de diferentes idades alcançam resultados expressivos com mais praticidade e menos desconforto, o que reforça sua posição como líder em tecnologia ortodôntica.

Encontre este tratamento na Pérola Odontologia

O Invisalign é mais do que um alinhador transparente. É uma solução tecnológica completa que une planejamento digital avançado, previsibilidade e conforto, proporcionando um tratamento ortodôntico moderno e eficiente. Para quem busca alinhar o sorriso sem renunciar a estética e praticidade, ele se consolida como a opção mais avançada disponível atualmente.

Tudo sobre o preenchimento labial: esclarecendo dúvidas

O preenchimento labial é um dos procedimentos estéticos mais procurados atualmente. Muito além de aumentar o volume dos lábios, ele pode trazer mais harmonia ao rosto, suavizar linhas finas e realçar a beleza natural de forma sutil e personalizada.
Apesar da popularidade, ainda existem muitas dúvidas e mitos sobre o assunto. Neste artigo, a Pérola Odontologia responde às perguntas mais frequentes, desmistifica o procedimento e orienta sobre os cuidados essenciais antes e depois da aplicação.
Vamos lá?
Para quem o preenchimento labial é indicado?
O preenchimento labial é indicado para quem deseja:
Aumentar o volume dos lábios;
Corrigir assimetrias;
Redefinir o contorno labial;
Suavizar linhas ao redor da boca (como o famoso “código de barras”);
Rejuvenescer a região perioral.
O procedimento é altamente personalizado, ou seja: cada caso é avaliado individualmente para que o resultado respeite a anatomia e os objetivos estéticos do paciente, evitando exagero e garantindo naturalidade.
Qual substância é usada no preenchimento?
O material mais utilizado, e também o mais seguro, é o ácido hialurônico. Trata-se de uma substância naturalmente presente no nosso corpo, reduzindo significativamente o risco de rejeição e reações alérgicas.
Além do volume, o ácido hialurônico também contribui para a hidratação e firmeza da pele ao redor dos lábios.
O procedimento dói?
A dor é mínima. A maioria dos profissionais utiliza anestesia tópica ou local, tornando o procedimento bem tolerável. O desconforto, quando ocorre, é leve e passageiro.
Após a aplicação, pode haver sensibilidade, inchaço e, em alguns casos, pequenos hematomas – efeitos comuns que tendem a desaparecer em poucos dias.
Quanto tempo dura o efeito do preenchimento?
A durabilidade varia conforme o metabolismo de cada pessoa, o tipo de ácido hialurônico usado e os cuidados pós-aplicação. Em média, os efeitos duram de 8 a 12 meses.
Com o tempo, o organismo absorve naturalmente o produto. Quando isso acontece, o procedimento pode ser refeito sem prejuízos à saúde ou à estética.
Quais são os cuidados antes e depois do preenchimento?
Pré-aplicação:
Evite medicamentos anticoagulantes (como aspirina) nos dias anteriores, conforme orientação profissional;
Não consuma bebidas alcoólicas nas 24h anteriores;
Evite procedimentos invasivos ou limpeza de pele no dia da aplicação.
Pós-aplicação:
Evite exposição ao sol ou calor intenso nas primeiras 48h;
Não massageie ou pressione a região sem orientação;
Evite atividade física intensa no primeiro dia;
Hidratar bem os lábios com produtos indicados pelo profissional;
Utilize gelo local, se necessário, para reduzir inchaços.

O preenchimento labial pode ser revertido?
Sim. Uma das grandes vantagens do ácido hialurônico é que ele pode ser dissolvido com o uso de uma enzima chamada hialuronidase, caso o paciente deseje reverter o procedimento por qualquer motivo.
Isso oferece mais segurança e controle tanto para o profissional quanto para o paciente.
Conte com a Pérola Odontologia
O preenchimento labial, quando realizado por um profissional capacitado, é um procedimento seguro, versátil e com resultados naturais. Seja para quem busca volume, correção ou rejuvenescimento, ele pode transformar a aparência com sutileza e elegância.
Na Pérola Odontologia, prezamos pela naturalidade, segurança e personalização em cada atendimento. Aqui, você conta com profissionais qualificados, produtos de alta qualidade e todo o cuidado que seu sorriso e sua autoestima merecem.
Agende sua avaliação e tire todas as suas dúvidas com quem entende de estética e bem-estar!

Você sabe cuidar da sua saúde bucal?

A saúde bucal vai muito além de manter um sorriso bonito: ela está diretamente ligada ao bem-estar geral, à autoestima e até à saúde sistêmica. E a boa notícia é que grande parte dos problemas odontológicos mais comuns pode ser evitada com atitudes simples no dia a dia.

Neste artigo, a Pérola Odontologia te mostra os cuidados diários indispensáveis para manter sua boca saudável e prevenir complicações futuras! Continue lendo!
Escovação eficiente: o primeiro passo para uma boca saudável
A escovação deve ser realizada pelo menos três vezes ao dia, especialmente após as refeições. Mais importante do que a frequência, é a técnica utilizada. Escovar com movimentos suaves, circulares e com atenção à linha da gengiva é fundamental para remover a placa bacteriana sem agredir o esmalte dos dentes ou os tecidos gengivais.
Além disso, o tempo ideal de escovação gira em torno de 2 a 3 minutos – menos que isso pode comprometer a eficácia do processo.
Uso diário do fio dental: essencial, não opcional
O fio dental é responsável por limpar áreas onde a escova não alcança – entre os dentes e abaixo da linha da gengiva. A ausência desse hábito favorece o acúmulo de placa bacteriana nesses locais, aumentando o risco de cáries interproximais e gengivite.
Limpeza da língua: eliminando bactérias e mau hálito
A língua abriga uma grande quantidade de bactérias que, se não removidas, podem causar halitose e contribuir para desequilíbrios na microbiota bucal. A higienização deve ser feita com raspador próprio ou com a parte de trás da escova, com movimentos de trás para frente.
Alimentação equilibrada: aliada da saúde bucal
Você sabia que o que comemos influencia diretamente na saúde dos dentes e gengivas?
Alimentos ricos em açúcar e carboidratos simples favorecem a proliferação de bactérias cariogênicas. Por outro lado, uma dieta equilibrada, rica em fibras, cálcio, fósforo e vitaminas, contribui para dentes mais fortes e gengivas saudáveis.
Evitar o consumo frequente de alimentos ultraprocessados e manter uma boa hidratação também são atitudes que beneficiam a saúde bucal a longo prazo.
Visitas periódicas ao dentista: prevenção profissional
Mesmo com todos os cuidados em casa, a avaliação de um dentista é indispensável. Consultas regulares, idealmente a cada seis meses, permitem a detecção precoce de alterações e garantem que a limpeza profissional (profilaxia) seja realizada adequadamente.
Esse procedimento remove o tártaro (que não é eliminado somente com a escovação) e impede o avanço de doenças periodontais.

Pequenos hábitos, grandes resultados
Pequenos hábitos diários têm um impacto positivo enorme na saúde bucal. Escovar bem os dentes, usar fio dental, limpar a língua, manter uma alimentação balanceada e visitar regularmente o dentista são atitudes simples que previnem doenças, evitam tratamentos invasivos e preservam sua saúde como um todo.
Na Pérola Odontologia, reforçamos a importância da prevenção e estamos prontos para cuidar do seu sorriso com atenção, tecnologia e carinho.
Agende sua consulta e invista no que você tem de mais valioso: sua saúde!

Perigos da prótese mal ajustada: quando buscar ajuda especializada?

A prótese dentária é uma solução importante para devolver função, estética e qualidade de vida a quem perdeu um ou mais dentes. No entanto, quando ela não está bem adaptada à boca do paciente, pode causar uma série de desconfortos e até comprometer a saúde bucal de forma mais grave.
Neste artigo, vamos mostrar os principais riscos de uma prótese mal adaptada, os sinais de alerta que você deve observar e por que é fundamental contar com o acompanhamento contínuo de um profissional qualificado para garantir segurança, conforto e bons resultados.
Quais são os riscos de uma prótese mal adaptada?
Uma prótese mal ajustada ou desgastada com o tempo pode provocar:
– Feridas e inflamações:
O atrito constante entre a prótese e a mucosa bucal pode causar lesões, feridas, inflamações e até úlceras. Além do desconforto, essas lesões aumentam o risco de infecções e dificultam a alimentação.
– Dores na mandíbula e no rosto:
Quando a prótese não se encaixa corretamente, pode gerar sobrecarga em áreas específicas da arcada, provocando dores musculares, articulares e até dores de cabeça.
– Dificuldade para mastigar e falar:
O desalinhamento da prótese compromete funções básicas como mastigação, deglutição e dicção, prejudicando a nutrição e a comunicação do paciente.
– Reabsorção óssea acelerada:
Uma das consequências mais sérias é a reabsorção do osso alveolar, o osso que sustenta os dentes. Quando a prótese não distribui corretamente a força da mastigação, o osso pode se desgastar mais rápido, dificultando futuras reabilitações, inclusive com implantes.
Sinais de que algo está errado com a sua prótese
É fundamental observar o comportamento da sua prótese no dia a dia. Procure um dentista se perceber:
– A prótese está frouxa, instável ou se movimenta na boca;
– Presença frequente de feridas, aftas ou áreas sensíveis;
– Dificuldade para mastigar alimentos que antes eram fáceis;
– Dores constantes na região bucal, maxilar ou no rosto;
– Alteração na fala ou na posição da mordida;
– Mau hálito ou sabor desagradável persistente.
Esses sinais indicam que é hora de realizar uma avaliação especializada e, se necessário, ajustar ou substituir a prótese.
Possíveis soluções e correções
Dependendo da situação, algumas soluções podem ser:
– Ajuste ou reembasamento da prótese atual
– Substituição por uma nova prótese com melhor adaptação
– Implantes dentários como opção mais estável e duradoura
– Acompanhamento periódico para manutenção preventiva
Cada caso deve ser analisado individualmente, com exames clínicos e radiográficos, garantindo a melhor escolha para o paciente.
A importância do acompanhamento contínuo
Muitas pessoas acreditam que, após colocar a prótese, não precisam mais visitar o dentista com frequência. Esse é um erro comum. Mesmo próteses bem adaptadas podem sofrer desgastes com o tempo, e a estrutura óssea e gengival da boca continua mudando, exigindo revisões periódicas para evitar complicações.
Na Pérola Odontologia, oferecemos um acompanhamento completo e humanizado, com foco na saúde, conforto e segurança do paciente em todas as fases do tratamento.
Conte conosco sempre!
Se você usa prótese dentária e sente dor, desconforto ou percebe alguma mudança no encaixe, não ignore os sinais. Prótese mal adaptada não é normal, e pode trazer sérios prejuízos à sua saúde bucal e qualidade de vida.
Agende sua avaliação na Pérola Odontologia e receba o cuidado de uma equipe especializada, pronta para encontrar a melhor solução para o seu sorriso.

Mini – implantes no tratamento com Invisalign? Por que são utilizados?

Na Ortodontia moderna, tecnologia e personalização andam lado a lado para garantir tratamentos mais eficazes, discretos e confortáveis. E quando falamos em movimentações dentárias mais complexas, os mini-implantes ortodônticos surgem como um recurso valioso, inclusive em tratamentos com alinhadores como o Invisalign.
Neste artigo, você vai entender o que são os mini-implantes, em quais situações são indicados, como são aplicados e por que são uma solução segura e eficiente, inclusive para otimizar os resultados do Invisalign.
O que são mini-implantes ortodônticos?
Também conhecidos como micro parafusos ou TADs (Temporary Anchorage Devices), os mini-implantes são pequenos parafusos de titânio posicionados temporariamente no osso da maxila ou mandíbula. Eles funcionam como pontos de ancoragem, oferecendo estabilidade para que os dentes possam ser movimentados com mais precisão e controle.
Diferentemente dos implantes dentários tradicionais (usados para substituir dentes perdidos), os mini-implantes são menores, temporários e exclusivamente utilizados para fins ortodônticos.
Quando os mini-implantes são indicados?
Os mini-implantes são indicados principalmente quando o tratamento ortodôntico exige movimentações dentárias mais complexas ou específicas, como:
– Recuar dentes anteriores (fechamento de espaços)
– Corrigir mordidas abertas ou cruzadas
– Alinhar dentes que não responderam bem ao tratamento convencional
– Evitar o uso de elásticos ou aparelhos auxiliares visíveis
– Reduzir o tempo de tratamento em certos casos

Eles são excelentes aliados em pacientes que usam Invisalign, pois ampliam as possibilidades de movimentação mesmo sem a necessidade de bráquetes ou fios metálicos.
Benefícios dos mini-implantes no tratamento ortodôntico
– Maior precisão nos movimentos dentário
– Redução do tempo total de tratamento
– Evita desgastes desnecessários nos dentes vizinhos
– Mais conforto em comparação a técnicas tradicionais
– Compatível com o uso do Invisalign
– Reversível e minimamente invasivo
Os mini-implantes permitem que os ortodontistas realizem movimentações mais previsíveis, garantindo um resultado mais estético e funcional, mesmo em casos considerados difíceis.
Como é feita a aplicação?
A colocação do mini-implante é um procedimento rápido, seguro e praticamente indolor, realizado no próprio consultório com anestesia local. A inserção leva somente alguns minutos e não há necessidade de cortes ou pontos.
Após a colocação, o mini-implante já pode ser utilizado imediatamente como ponto de apoio para a movimentação dos dentes, inclusive em conjunto com os alinhadores Invisalign.
Cuidados após a aplicação
A manutenção dos mini-implantes é simples, mas requer alguns cuidados:
– Higiene bucal rigorosa na região
– Evitar alimentos muito duros nos primeiros dias
– Comparecer às consultas de acompanhamento regularmente
– Seguir as orientações do ortodontista quanto ao uso do Invisalign
Quando bem cuidados, os mini-implantes permanecem estáveis durante todo o tratamento e são removidos com facilidade ao final, sem deixar sequelas.
Invisalign + Mini-implantes: combinação eficaz até nos casos mais desafiadores
Embora o Invisalign seja conhecido por tratar casos leves e moderados, com o apoio dos mini-implantes, também se torna possível realizar movimentações mais complexas. Isso amplia o número de pacientes que podem se beneficiar da ortodontia invisível, sem abrir mão da estética e do conforto.
Essa abordagem permite unir o que há de mais moderno em planejamento digital com técnicas avançadas de ancoragem, entregando resultados mais rápidos, previsíveis e discretos.
Quer saber mais?
Na Pérola Odontologia, buscamos soluções completas, personalizadas e baseadas em evidências para cada paciente. Se você está em busca de um sorriso alinhado, harmônico e quer saber se o Invisalign com o apoio de mini-implantes é indicado para o seu caso, agende uma avaliação com nossos especialistas.
Vamos planejar o melhor caminho para o seu novo sorriso, com segurança, tecnologia e cuidado em cada detalhe.

Sorriso apinhado: o que é, por que acontece e como tratar?

Você já percebeu dentes tortos ou sobrepostos no seu sorriso? Essa condição é conhecida como apinhamento dental e é mais comum do que se imagina. Mas o que exatamente causa esse problema e como ele pode ser tratado?
O que é apinhamento dental?
O apinhamento ocorre quando os dentes não têm espaço suficiente na arcada para se posicionar corretamente, causando o desalinhamento e a sobreposição dos dentes. Isso pode gerar desconforto estético e até dificultar a higiene bucal, aumentando o risco de cáries e doenças gengivais.
Por que o apinhamento acontece?
As causas do apinhamento dental são variadas, entre elas:
Genética: Muitas vezes, a falta de espaço é herdada, devido ao tamanho dos dentes e da arcada.

Perda precoce de dentes: Quando dentes de leite caem antes da hora, pode haver movimentação incorreta dos dentes permanentes.

Hábitos na infância: Chupar dedos, uso prolongado de chupeta ou sucção labial podem contribuir para o apinhamento.

Como o Invisalign ajuda no tratamento do apinhamento?
O Invisalign é uma solução moderna que usa alinhadores invisíveis para corrigir o apinhamento com conforto e discrição. O tratamento é planejado digitalmente, usando escaneamento 3D, o que garante precisão e previsibilidade nos movimentos dos dentes.
Além de melhorar a estética, o Invisalign facilita a higiene, pois os alinhadores são removíveis, evitando o acúmulo de placa bacteriana.
Planejamento digital para resultados eficazes
Com a tecnologia do escaneamento intraoral 3D, o dentista consegue mapear toda a boca do paciente, criando um plano de tratamento personalizado e detalhado. Isso permite prever cada etapa do alinhamento, tornando o processo mais seguro e eficiente.
Agende uma avaliação na Clínica Pérola Odontologia e descubra como o Invisalign pode transformar seu sorriso.

Quem tem dentes faltando pode usar Invisalign?

Muitas pessoas que têm dentes faltando ficam em dúvida sobre a possibilidade de utilizar o Invisalign para corrigir o alinhamento dos dentes. Será que o tratamento com alinhadores invisíveis é indicado nesses casos? Vamos esclarecer essa dúvida e mostrar como o planejamento digital torna tudo possível.
Invisalign: é indicado para quem tem dentes faltando?
Sim! O Invisalign pode ser utilizado em pacientes com ausência dentária, desde que o caso seja cuidadosamente avaliado. A ausência de dentes não impede o uso dos alinhadores invisíveis, mas requer um planejamento detalhado para garantir que o tratamento seja eficiente e seguro.
Por que o planejamento digital é fundamental?
O grande diferencial do Invisalign está na tecnologia digital avançada que permite o planejamento preciso do movimento de cada dente. Por meio de scanners intraorais e softwares especializados, o ortodontista pode simular o tratamento, considerando a ausência dentária e definindo a melhor estratégia para alinhar os dentes remanescentes e preparar o espaço para futuras reabilitações, com implantes ou próteses.
Quais são os critérios clínicos para o uso do Invisalign em casos de dentes faltando?
Avaliação da ancoragem: É essencial analisar como os dentes adjacentes vão servir de apoio para movimentações seguras e controladas.

Espaço para reabilitação: O alinhador pode ajudar a fechar espaços ou abrir espaço para próteses, dependendo do planejamento.

Condição óssea e gengival: O estado da estrutura óssea e dos tecidos gengivais também influencia na viabilidade do tratamento.

Saúde bucal geral: Pacientes precisam estar com a saúde bucal em dia para evitar complicações durante o tratamento.

Como alinhar e reabilitar ao mesmo tempo?
O Invisalign pode ser parte de um plano integrado que inclui a ortodontia para alinhar os dentes e preparar o espaço para reabilitações protéticas, como implantes dentários ou próteses fixas. Esse tratamento multidisciplinar permite que o paciente conquiste um sorriso alinhado, funcional e esteticamente harmonioso.
Se você tem dentes faltando e deseja alinhar seu sorriso com conforto e discrição, agende uma avaliação na Clínica Pérola Odontologia. Nossa equipe vai analisar seu caso individualmente e indicar o melhor tratamento para você.

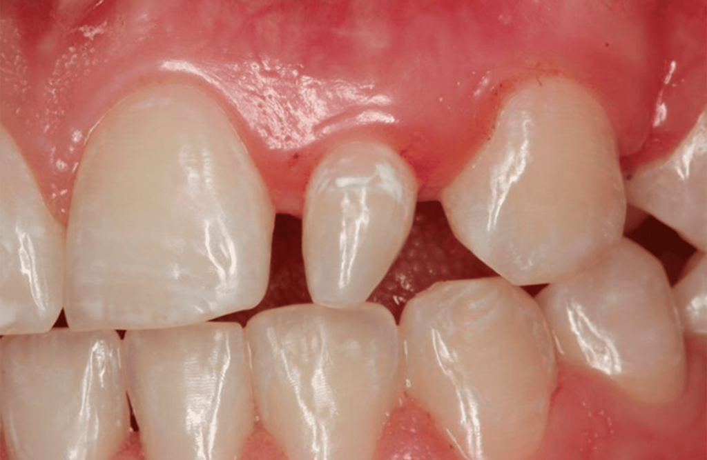
Dentes conóides: o que são, qual o impacto no sorriso e como é o tratamento?

Você já ouviu falar em dentes conóides? Eles são dentes que possuem um formato mais fino e alongado, parecendo um cone, o que pode impactar diretamente a estética do seu sorriso.
O que são dentes conóides?
Os dentes conóides são uma alteração na forma dental que geralmente afeta os dentes laterais superiores, tornando-os mais estreitos e pontiagudos do que o normal. Essa característica pode ser genética e costuma causar uma desarmonia do sorriso, além de influenciar a função mastigatória em alguns casos.
Qual o impacto dos dentes conóides no sorriso?
Por possuírem um formato diferente dos dentes comuns, os dentes conóides podem chamar atenção e causar desconforto estético. Essa condição pode gerar insegurança, afetando a autoestima e o sorriso da pessoa. Além disso, dentes mais finos podem apresentar maior vulnerabilidade a desgastes e fraturas.
Como é feito o diagnóstico?
O diagnóstico dos dentes conóides é realizado pelo dentista durante uma avaliação clínica detalhada, que pode incluir exame visual e uso de exames complementares. É importante entender as particularidades de cada caso para definir o melhor plano de tratamento.
Quais são os tratamentos indicados?
A boa notícia é que há soluções eficazes para melhorar o formato dos dentes conóides e devolver a harmonia ao seu sorriso:
Resina composta: Técnica minimamente invasiva que consiste em aplicar uma resina dental para dar volume e contorno adequados aos dentes, criando uma aparência natural e simétrica.

Facetas dentais: Lâminas finas feitas de porcelana ou resina que são aplicadas sobre os dentes para corrigir forma, cor e tamanho, proporcionando um resultado estético duradouro e elegante.

Ambos os tratamentos são personalizados conforme a necessidade de cada paciente, garantindo um resultado que respeita a harmonia facial e a funcionalidade.
O impacto positivo na autoestima
Transformar um sorriso afetado por dentes conóides vai muito além da estética. Sentir-se bem com a própria imagem melhora a autoconfiança e traz mais segurança para sorrir, conversar e viver com leveza.
Se você tem dentes conóides e deseja melhorar o formato e a aparência do seu sorriso, agende uma avaliação na Clínica Pérola Odontologia. Nossa equipe está pronta para oferecer o tratamento ideal para você.